Виниры – это тонкие накладки, которые устанавливаются на лабиальную (внешнюю) сторону передних зубов, главным образом, с целью улучшения их эстетичности, а также восстановления фонетической и алиментарной функций рта. Накладки устанавливают как на весь ряд видимых в линии улыбки зубов, так и на один зуб, в зависимости от пожеланий пациента. В случае с полной реставрацией видимых зубов (по 10 на каждой челюсти), виниры изготавливаются попарно, для того, чтобы ряд выглядел симметрично. Если же нужно скрыть изъян лишь одного зуба (если он, например, искривлен), зуб маскируется так, что в результате выглядит, как и соседние прямые зубы.
Несмотря на то, что виниры относятся к видам зубного протезирования, при их установке нет необходимости существенно препарировать зубную эмаль, как, например, в случае с коронками. Это существенно продлевает жизнь зубам.
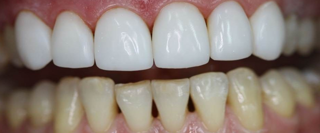
Для чего нужны виниры
В зубных накладках нуждаются, как правило, люди, испытывающие дискомфорт при общении в силу неэстетичного вида их зубов. Сколы, царапины, желтый цвет и прочие изъяны зубной эмали легко маскируются винирами. Они помогают создать пресловутую «голливудскую улыбку», которая особенно важна для людей публичных профессий (артистов, телеведущих и т. д.).
Итак, среди главных полезных функций, виниры:
- корректируют форму, размер и цвет зубов;
- устраняют щели между зубами и их кривизну;
- маскируют трещины, сколы, потертости и пятна на зубной эмали;
- восстанавливают целостность режущего края передних зубов;
- исправляют всевозможные аномалии (флюороз, гипоплазия).
Кроме того, накладки замедляют процесс разрушения зубов от кариеса и возрастных изменений, благодаря плотному контакту с зубами, исключающему вероятность попадания болезнетворных бактерий.

Виды виниров
Для изготовления виниров используется керамика (фарфор) либо композитные материалы, поэтому они бывают двух видов:
- Композитные виниры. Их стоматолог изготавливает из светополимерного композита или органической смолы, наполненной стеклянными микрочастицами, и фиксирует их на зубах методом наклеивания. Чтобы поставить виниры из композита, достаточно одного визита к врачу, однако такие накладки темнеют и служат недолго.
- Керамические (фарфоровые) виниры. Они имеют эстетичный вид, их невозможно отличить от здоровых белых зубов. Они изготавливаются в стоматологической лаборатории зуботехником с учетом многих индивидуальных параметров (форма зубов пациента, их размеры и т. д.). Это длительная процедура, требующая нескольких посещений врача. Фарфоровые виниры, в отличие от композитных, не теряют первоначального цвета, прочны и долго служат.




